

X5 Eşsiz görüntü kalitesi ve kolay kullanımı ile kullanıcı dostu bir görüntüleme sistemidir.
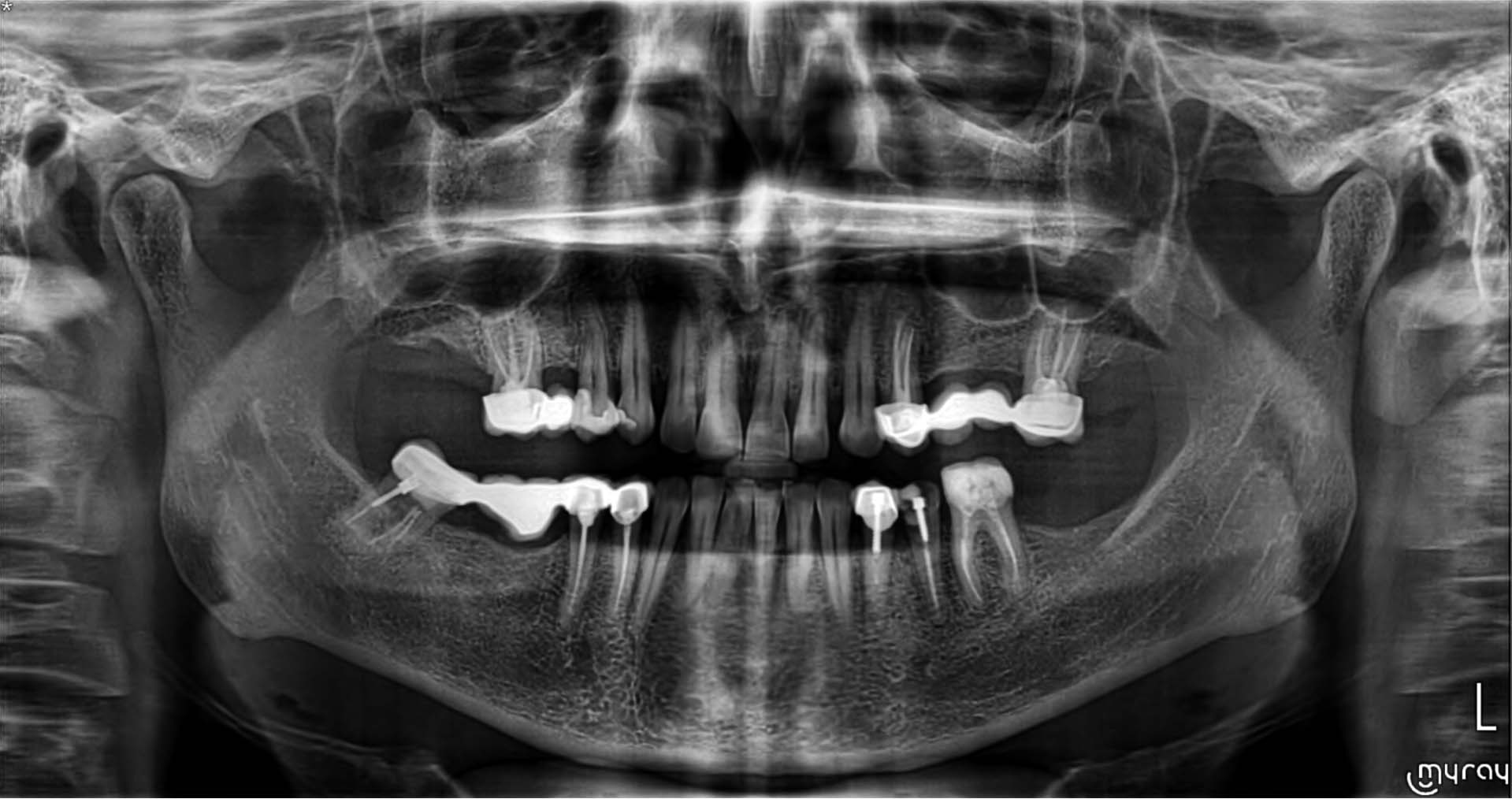
Yeni nesil hassas Cmos Flat Panel Teknolojisi. Görüntü kesitleri eskiye göre 2 kat daha keskin ve net görüntü almayı sağlamaktadır. Panoramik görüntülemede devrim yaratan Panoral 5 MultiPan çekim tekniği ile tek panoramik doz ile 5 ayrı katmanda görüntü alınır. Reel 16 bit yüksek gri skalası ile yüksek çözünürlük ve kesin tanı imkânı sunmaktadır. PANORAL 5 MULTIPAN Panoramik Röntgen Çekim Tekniği: CMOS Flat Panel Hassas Sensör teknolojisi tek bir panoramik doz ile horizontal düzlemde 3 mm. aralıkla, hastanın 5 ayrı vertikal panoramik görüntüsünün elde edilmesini sağlamaktadır. Bu şekilde net alan derinliğine girmeyen bir diş var ise bir önceki veya bir sonraki filmde görülebilir. Panoral 5 MULTIPAN görüntüleme tekniği; maloklüzyon ve hasta pozisyonlandırma hataları nedeniyle oluşabilecek görüntü bozukluklarını elemine edebilmektedir. Böylelikle panoramik röntgen çekimlerinde pozisyonlandırma hatalarına bağlı çekim tekrarlarına da gerek kalmaz.
MRT (Morfoloji Tanıma Teknolojisi) MRT hastanın kemik yoğunluğunu ölçerek tüp voltajı(kV), tüp akımı (mA) ve tüp frekansını (kHz) her hastaya özel olarak belirlemektedir. Manual doz ayarına gerek kalmaz, kolay kullanım sağlar. Her hastada en iyi görüntüyü alabilmek için gereken doz ne ise hesaplar ve o hastaya özel dozu verir. Hastayı gereksiz yüksek dozdan korur. Kullanıcının doz seçiminde hata yapmasını engeller. Bu patentli teknoloji aynı zamanda hastanın çene yapısının otomatik seçimini de mümkün kılmaktadır.
PANORAMİK: Çene yapısının ve odak katmanının otomatik seçimi.
• Azaltılmış doz, daraltılmış görüntü alanı • Çocuk kolimasyonu 11 cm görüntü yüksekliği • Çocuğa göre hareket geometrisi
• Maksimum çözünürlük ve ortogonalite • Sabit büyütme • Ark segmentasyonu
• Ağız açık veya kapalı PA ve LL projeksiyon • Tek veya çift tarama • Çok açılı inceleme (x3)
• SAĞ ve SOL Lateral Projeksiyonlar • Frontal projeksiyon
Maximum Kalite (80 μm) • SuperHD (16.8 s) çekim süresi : 5.6 s Regular Kalite (160 μm) • Standard (9.6 s) çekim süresi: 2.4 s Düşük doz (160 μm) • Hızlı Tarama (6.4 s) çekim süresi: 1.6 s
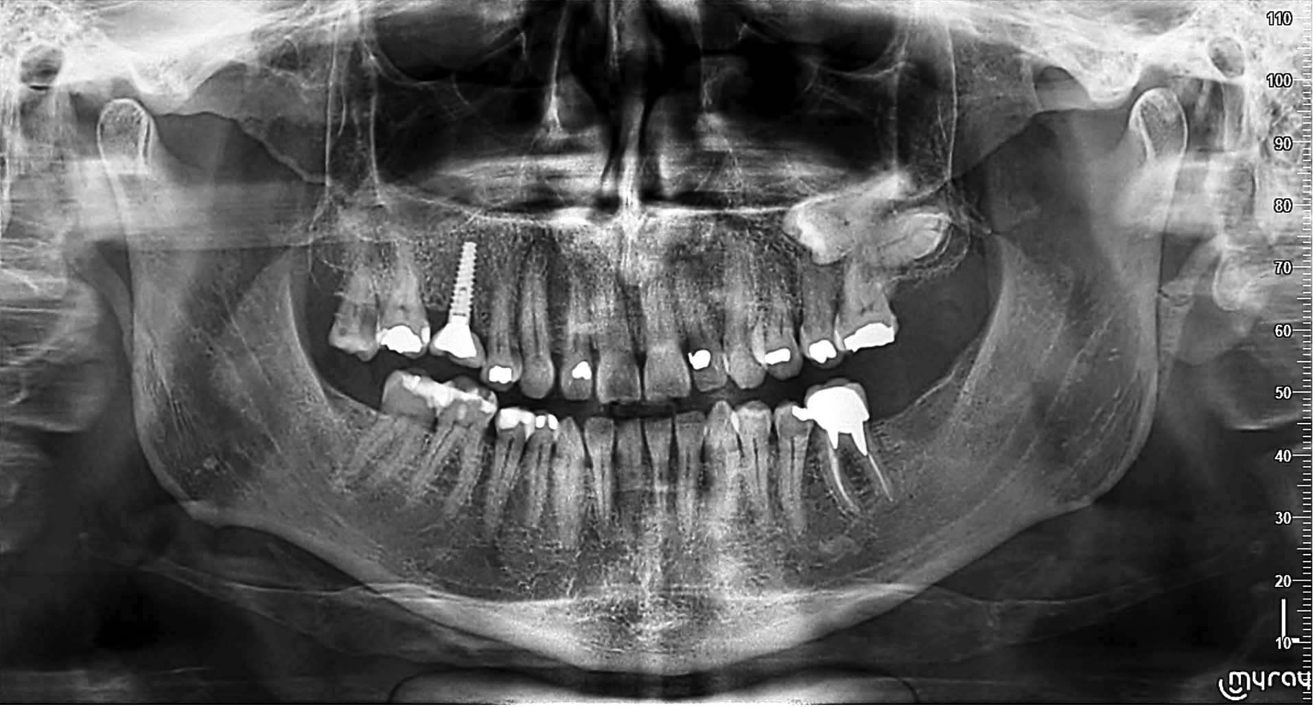
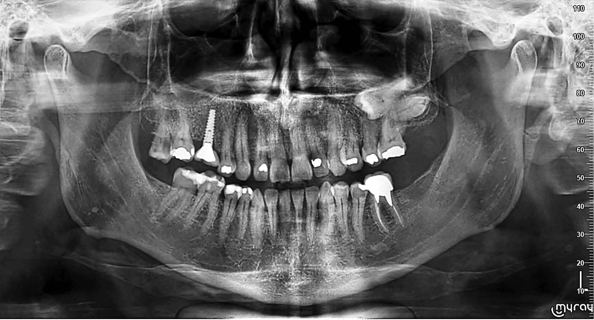
• Radyo-opak yansımaları ortadan kaldıran özellik • Doldurulmuş kanal yansımaları eleminasyonu • İmplant yansımaları eleminasyonu • Amalgam ve restorasyon yansımaları eleminasyonu
10x10 fov alanı üçüncü molar kökler ve sinüs tabanları dahil, çevresindeki anatomik özelliklerin yüksek doğrulukta taranması, doğru teşhis ve iyileştirilmiş tedavi planlaması için yararlıdır. X5 10 x 10cm fov alanını 80 μm luk detaylarla vermektedir.
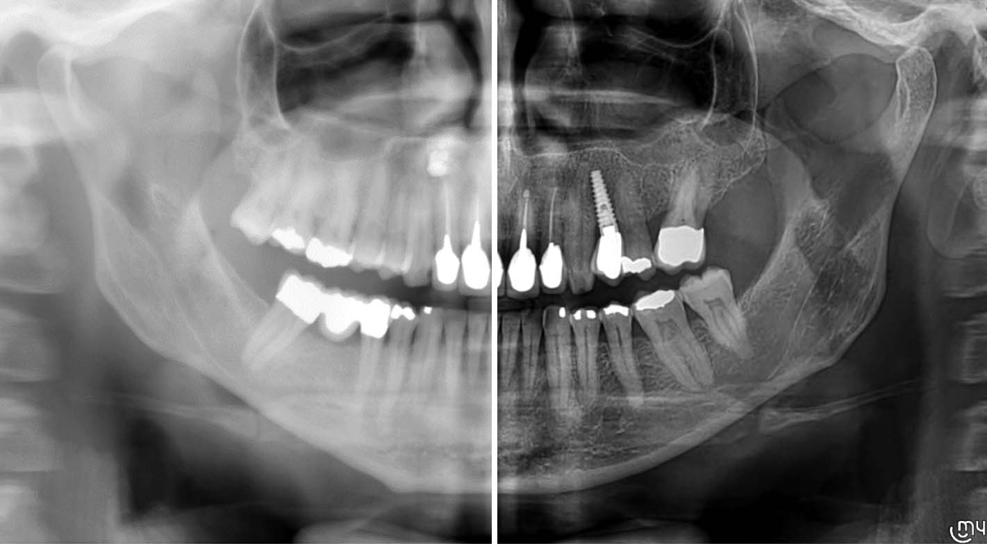
Endodontik değerlendirmeler için sadece ilgili bölgedeki ayrıntılı teşhisler yapılabilmektedir. 2D görüntülerden çok daha derinlemesine gömülü dişler arasındaki ilişkilerin neredeyse bir periapikal dozunda incelenmesi sağlar.
Sınırlı Maruziyet – Düşük Doz Çocukların diş ve maksiller sinüslerinin, düşük doz ile görüntüsünü verir. Azaltılmış kolimasyon, hassas bölgelerin doza maruz kalmasını önlerken eksiksiz ve kapsamlı bir çözünürlük ve araştırma imkânı sağlamaktadır.
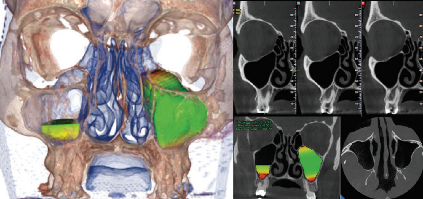
Tek bir taramada sinüsler bölgesinin görüntüsünü elde eder. Bu çekim modu, sinüs kaldırma ve hastalardaki morfolojik oranları değerlendirilmesine olanak sunmaktadır. Ayrıca hacimsel ölçüm, analiz dahil olmak üzere optimize edilmiş tedavi planlamaları olası hastalıkların dikkatle teşhis edilmesini sağlar.
Her tanılama için her açıdan optimizasyon, minimum hacim, maksimum konfor. 8 Diyagnostik program Lateral, AP-PA veya ful kafa Submentoverte Hızlı CEPH Lateral (low dose) Carpus (El Bilek) Yeni nesil CMOS sensör ile daha fazla detay, daha iyi yumuşak doku görüntüsü sağlanır. Sefalometrik Çekim Programları Lateral Sefalometrik Anterio-Posterior Sefolometrik Submentowertex Çekim El/Bilek Çekimi (Opsiyonel)
IRYS ile 2D/3D TARAMALARININ YÖNETİMİ 2D ve 3D görüntülerin yönetimi tek bir yazılım üzerinden yürütülür. Çoklu Masaüstü sistemi, 2 boyutlu ve 3 boyutlu görünümler arasında hızlı gezinme mümkündür. Yüksek kaliteli teşhisler yapmak ve hasta ile hızlı bir şekilde iletişim kurmak için ihtiyaç olabilecek her şey IRYS yazılımdadır.
İmplant bölgesini çevreleyen anatomik yapılar hakkında bilgi verir. Kemik kalitesinin değerlendirmesi ve gelişmiş IRYS yazılım özelliğiyle cerrahî prosedürlerin, ameliyat sonrası iyileşme sürelerinin en iyi şekilde planlanması mümkün olur. Bu özellik sayesinde geniş kapsamlı yazılımın implant kütüphanesinde bulunan implantların seçilip konumlandırılarak görüntüler üzerinde planlama yapılabilir.
Mannas Dental olarak, sizinle iletişim kurmaktan memnuniyet duyarız. İhtiyaçlarınızı karşılamak ve sorularınıza yanıt vermek için buradayız. Lütfen aşağıdaki iletişim bilgilerini kullanarak bizimle iletişime geçin: